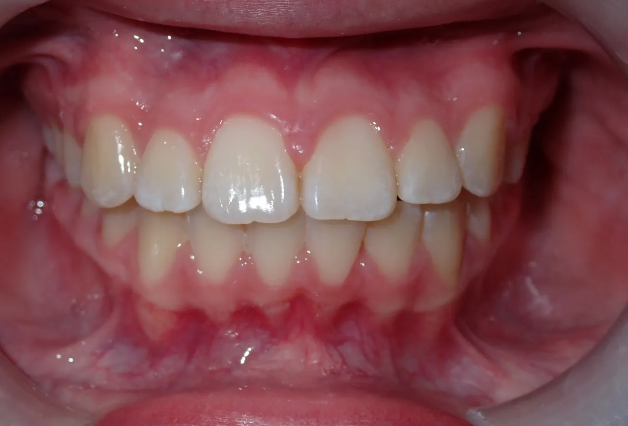
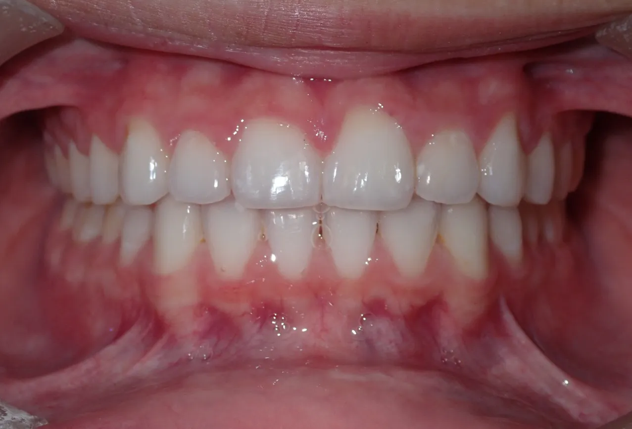
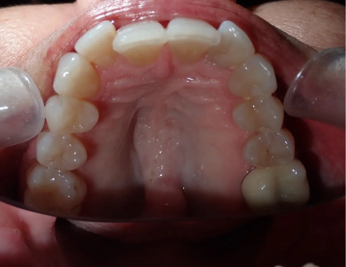
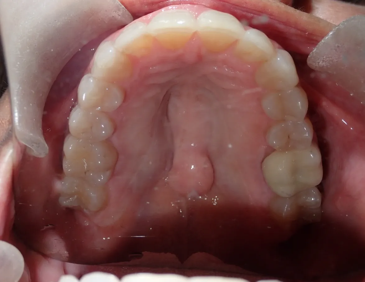
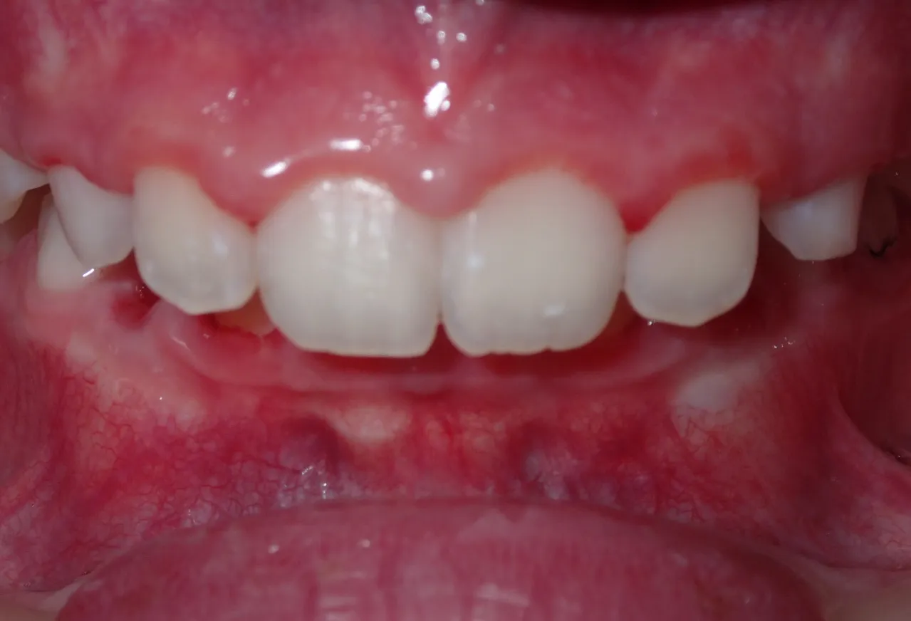
Explore our smile gallery to see the beautiful results our orthodontist and team have achieved for our patients! We invite you to contact Kupiec Orthodontics at 760-355-3800 to learn more about our dental services in Imperial, California, and schedule your personal consultation with Dr. Karson Kupiec or Dr. Kim Sauer. Your dream smile awaits!









